Advanced Dental Solutions That Balance Beauty, Function & Longevity.
The Precision-Driven, Gentle Dentist in Garden Grove Creating Natural-Looking Smiles
At Tan Khuu DDS, every smile begins with precision and ends in life-changing confidence. As a leading Garden Grove dentist, Dr. Khuu has earned a reputation for blending advanced digital technology with an exceptionally gentle touch. Patients often describe his care as “shockingly comfortable” and are amazed by the natural-looking results.
Precise • Natural-Looking • Gentle Dentistry
From general dental checkups, veneers, and smile makeovers to full-mouth dental implants, Dr. Khuu’s expertise and gentle manner meets and exceeds expectations.
By combining CBCT scans, intraoral imaging, and Exocad digital planning, Dr. Khuu ensures every smile restoration functions flawlessly and lasts for decades. It’s his unwavering commitment to excellence, honesty, and long-term outcomes that keeps patients raving and referring friends and family across state lines.
High End Dental Care Designed Around You
Whether it’s a routine cleaning or a complete smile design, every treatment is guided by precision, compassion, and a commitment to your long-term well-being. At Tan Khuu DDS, we don’t just restore smiles, we help you feel confident, healthy, and genuinely cared for.
Dental Implants
Tooth Replacement
Our dental implants are carefully planned using advanced digital technology to deliver results that are precise, predictable, and built to last a lifetime.
Porcelain Veneers
Smile Enhancement
We work with the best dental labs to deliver custom-designed dental veneers with artistic precision. Enhance your smile with natural looking veneers.
Full Arch Dental Implants
Full Mouth Restoration
Dr. Khuu has mastered the art of full mouth dental implants and All on X (All-on-4) procedure for full mouth reconstruction.
Smile Makeovers
Cosmetic Dentistry
Dr. Khuu approaches every smile makeover as a fusion of art and science, designing results that are not only stunningly beautiful, but perfectly natural-looking.
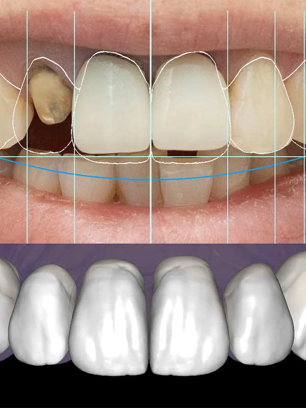
Smile Design Rooted in Artistry & Precision
Cosmetic dentistry at Tan Khuu DDS is never one-size-fits-all. Every smile is thoughtfully designed to complement your unique features, lifestyle, and goals. We balance natural beauty with lasting function. With an artist’s eye and a technician’s precision, Dr. Khuu crafts veneers and smile makeovers that feel effortless, look authentic, and radiate confidence. Patients leave not only looking their best, but feeling empowered to smile fully and live freely.
Behind every result is a foundation of advanced digital planning. Using facially driven smile design, CBCT imaging, and intraoral scanning, Dr. Khuu maps out every angle, proportion, and nuance to create harmony between teeth, lips, and face – for results that are as precise as they are personal.
Real Patient Testimonials
"Dr. Khuu is amazing. He has gone above and beyond while I've been under his care. He's very thorough, caring, informative and skilled at his job. His facility is extremely clean, organized, and state of the art. My regular dental office couldn't perform the complicated tooth extraction I needed done so I was sent here and he was able to do it. I highly recommend him."
Matt H.
Google Review"End result was beautiful veneers that look so natural and I'm just very pleased with the outcome. I think you can see by my smile that everything turned out very beautifully and I'm very thankful!"
Dianne P.
Google Review
Make Tan Khuu DDS YourGarden Grove Dental Office
Conveniently located at 10272 Westminster Avenue in the heart of Garden Grove, CA, our office is just minutes from the 22 Freeway, with easy access for patients throughout Orange County. Whether you’re coming from Fountain Valley, Westminster, or Santa Ana, you’ll find our modern, welcoming practice in a central, easily accessible area with plenty of on-site parking.
We proudly accept all PPO insurance plans and offer flexible financing through Alphaeon Credit and PatientFi- with 6, 8, 12, and 24-month no-interest payment options (subject to approval). Our goal is to help you prioritize your oral health without financial stress!
Mastery in Dental Aesthetics
Dr. Khuu combines artistic vision with clinical mastery to deliver aesthetic results that are not only beautifully natural but precisely tailored to each patient’s facial harmony and goals.
State-Of-The-Art Dental Technology
Our office uses the latest dental technology like 3D imaging, digital scans, and advanced design software to plan and create treatments with incredible accuracy. This means your results will look natural, feel comfortable, and last a lifetime.
Before & After Gallery
Browse our before & after smile gallery to see the life-changing transformations created at Tan Khuu DDS.
Reclaim Your Confidence With A Smile You'll Love @Tan Khuu, DDS
Our friendly and compassionate team is here to guide you every step of the way. We’re here to help with any questions about insurance, financing or treatments. Get in touch today!